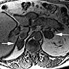
МРТ надпочечников ребенку показана для выяснения причин нарушения работы парных эндокринных желез, расположенных в области верхних полюсов почек. Посредством магнитно-резонансной томографии выявляются, главным образом, опухоли коркового слоя (аденомы, альдостеромы, кортикостромы, андостеромы) и мозгового слоя (нейробластомы, феохромоцитомы), а также гиперплазия коры надпочечников. С целью более точной топической и дифференциальной диагностики используется контрастное усиление. В детской эндокринологии проведению МРТ надпочечников предшествует гормональное обследование и УЗИ желез.
|
|
МРТ брюшной полости ребенку
МРТ головного мозга ребенку
МРТ малого таза ребенку
МРТ надпочечников ребенку
МРТ пазух носа ребенку
МРТ позвоночника ребенку
МРТ почек ребенку
МРТ сердца ребенку
МРТ сустава ребенку
МРТ-ангиография ребенку
МРТ-холангиография ребенку
|
Фильтр:
С отзывами
Круглосуточные
Рядом со мной
ОМС
Сортировка
Показать все фильтры
Сбросить
С отзывами
Круглосуточные
Рядом со мной
ОМС
Сортировка
По умолчанию
сбросить фильтр
Найдено 3 центра
Скрыть фильтр
|
КДЦ Клиники СПб ГПМУ на Александра Матросова
ул. Александра Матросова, д. 22
|
ул. Александра Матросова, д. 22 | ||||
|
|||||
|
Клиника СПб ГПМУ на Литовской
ул. Литовская, д. 2
|
ул. Литовская, д. 2 | ||||
|
|||||
|
НИИ детских инфекций на Профессора Попова
ул. Профессора Попова, д. 9
|
ул. Профессора Попова, д. 9 | ||||
|
|||||
Цены в других городах
|
МРТ надпочечников ребенку в Москве
|
|||||||
|
|||||||
